

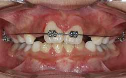
Um diastema interdentário é um espaço exagerado entre as coroas de dois dentes, na sequência normal de erupção. A sua origem pode ser:






Os diastemas revelam-se a partir dos 6 anos, com a erupção dos incisivos.
Uma radiografia panorâmica conduzirá ao diagnóstico e ajudará a orientar a conduta terapêutica na infância.
Os diastemas devidos à diminuição da largura das coroas dos incisivos laterais superiores ou a um freio fibroso, só devem ser tratados após a erupção dos 2º molares definitivos, aos 13 anos.