


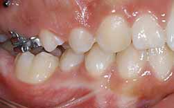
A principal causa de falta de espaço para a erupção de um molar definitivo é a perda precoce de um molar decíduo.
Aquele que provoca maior e mais rápida perda é o segundo molar decíduo superior, seguido do segundo molares decíduo inferior.
Na região molar é rara a existência de obstáculos à erupção como os odontomas.




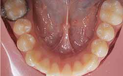
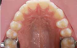
A perda de um molar de leite deve ser de imediato compensada com um dispositivo mantedor do espaço.
Quando a perda já se verifica e o exames demonstram a existência de falta de espaço para a erupção dever-se-à recorrer a um dispositivo apropriado para a recuperação do mesmo.

