

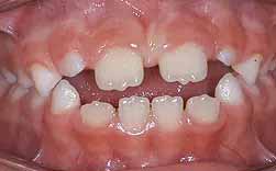
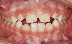
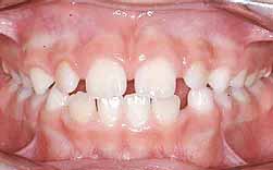
A protrusão incisiva pode ter como causa:
Os hábitos nocivos devem ser detectados e eliminados imediatamente.
Os problemas resultantes de défice de crescimento da mandíbula são mais complexos de tratar porque dependem de factores inerentes ao potencial de crescimento existente e à direcção adequada do crescimento.







